皇冠信用网在线注册_河南一老人做冠脉造影手术时一截导丝断在血管中!院方回应
世界杯皇冠信用网平台(www.hg0088.us)为您提供最新登1登2登3代理网址,包括新2登1登2登3代理手机网址,新2登1登2登3代理备用网址,皇冠登1登2登3代理最新网址,近日,来自河南汝州的高女士反映称,她的父亲在河南省胸科医院做冠脉造影手术时,手术所用导丝末端断裂,一截导丝被遗留在血管中皇冠信用网在线注册。“父亲原本就有血栓,担心随着父亲年龄增长,病情会加剧。”
9月30日,涉事医院医患办公室工作人员告诉南都N视频记者,术后院方组织了相关科室会诊,判断回旋支指引导丝远段断裂,与患者回旋支弥漫性动脉硬化重度狭窄病变及钙化有关皇冠信用网在线注册。如果患者需要做医疗事故鉴定,院方将全力配合。目前仍在与该病人家属进行协商。

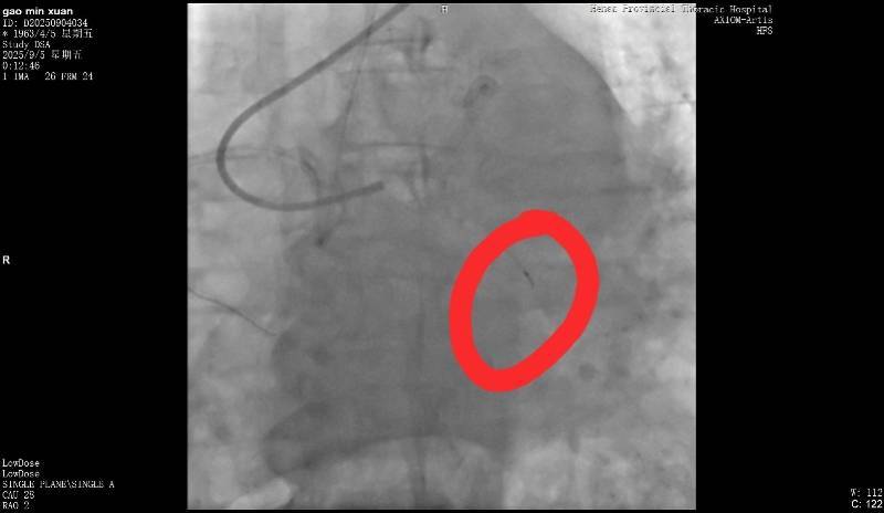
断裂的导丝皇冠信用网在线注册。受访者供图
病人家属:担心遗留导丝会加剧病情
高女士向南都记者介绍,其父亲今年62岁,去年因冠心病在河南省胸科医院做过支架植入手术皇冠信用网在线注册。今年9月2日,因感到胸闷,其父亲再次到该医院复查。
9月5日,高女士父亲在该医院做冠脉造影,手术进行了近3个小时皇冠信用网在线注册。高女士回忆说,手术结束后,负责手术的医生告诉她,“在微创探查体内的时候,一截导丝断裂。”当高女士询问能否再次实施手术取出时,医生表示因病患年纪较大,开胸手术存在危险,并没有取出的必要。但对于遗留导丝会否在后续造成长期影响,该医生则称“无法确定”。
高女士提供的病程记录显示,“手术操作过程中出现回撤导丝困难,送入微导管尝试至坎顿处未成功,退出微导管时远段导丝断裂,多途径尝试取出断裂导丝均未能成功皇冠信用网在线注册。”资料还指出,“通过复查造影,回旋支近段残余狭窄小于30%,未见明显夹层、无复流。”
南都记者留意到,该病程记录给出了心血管外科一病区会诊意见,称“回旋支内见离断的介入导丝,外科取出导丝意义不大,建议内科治疗”皇冠信用网在线注册。
高女士认为,父亲原本就有血栓,按照医院的说法,他的血管狭窄、钙化严重,其担心随着父亲年龄增长,情况会加剧皇冠信用网在线注册。她表示,目前有两个诉求,一是希望医院能给予一定金额的赔偿;二是由医院对接能做开胸手术的医院,必要情况下协助垫付一定费用。
涉事院方:可配合做相关医疗鉴定
9月30日,南都记者联系涉事医院医患办咨询,接线人员表示,目前已了解高女士的诉求,正积极与高女士进行协商皇冠信用网在线注册。
该名接线人员表示,该患者入院后,诊断冠心病、急性冠脉综合征,手术指征明确皇冠信用网在线注册。“术前已与患者及家属沟通病情,告知其冠脉造影及冠脉支架植入术的必要性及相关风险。”
这一说法可以在高女士提供的病程记录中得到印证皇冠信用网在线注册。相关记录显示,9月4日,手术医师进行查房,随后与患者及家属沟通病情,告知其冠脉造影及冠脉支架植入术的必要性及相关风险,其中提及,术后可能出现支架再狭窄或支架内血栓形成,可造成相关脏器急性缺血坏死或功能障碍,危及生命,以及导丝、导管、鞘管等术中所用材料断裂、打折等,必要时需要外科手术治疗。
该医患办工作人员向南都记者解释称,术后院方组织了相关科室会诊,判断回旋支指引导丝远段断裂,与患者回旋支弥漫性动脉硬化重度狭窄病变及钙化有关皇冠信用网在线注册。“如果患者需要做医疗事故鉴定,院方将全力配合。如果对方经济困难,医院愿意垫付费用做鉴定。”其还表示,医院将根据第三方相关鉴定,承担院方该承担的责任。
南都记者了解到,当前高女士向医院提出30万的索赔,院方认为索赔数目太高,建议走司法程序进行司法鉴定,以此明确医院的过错及比例,如果家属对血管里的导丝感到担心,医院可先补偿8000元皇冠信用网在线注册。
高女士表示,当前她已将诉求反映至省卫健委有关部门,正在进一步等候处理中皇冠信用网在线注册。
采写:南都N视频记者 林诗妍
猜你喜欢
- 30分钟前皇冠信用網出租足球 _开拓者将杨瀚森下放到发展联盟混音队 打两场比赛
- 7小时前皇冠信用盘怎么申请 _马杜埃凯:阿森纳的文化可能是我见过最好的,感谢球迷对我的支持
- 16小时前皇冠信用網在线开户 _突发讣告!官网已变黑白
- 20小时前皇冠信用網注册开通 _俄军开始清场,乌克兰第三首都被全面控制,关键时刻,特朗普又递来刀子
- 23小时前皇冠信用盘登3代理注册 _跨境网赌头目佘智江(湖南出生,后获柬埔寨国籍),被引渡回中国
- 1天前皇冠信用网怎么代理 _江苏省委组织部最新公示
- 1天前皇冠信用网怎么代理 _青岛一只拉布拉多犬走失三月后,长沙街头被网友发现并收留,目前犬只已被送回犬主身边
- 1天前皇冠信用网开户 _“尊重沈伯洋成为‘台独烈士’的权利”
- 2天前皇冠皇冠信用網平台 _中方“斩首”警告后,不到1天,特朗普就对日本翻脸:某些人不是美国的朋友
- 2天前如何代理皇冠信用網 _外交部:中方对日本演员仲代达矢逝世表示哀悼
- 3天前皇冠信用APP下载 _广西百色通报“公职人员涉性侵案”情况
- 3天前皇冠信用網开户 _“太直男,情商低?”35岁大学老师花7980元相亲,连见6位女生全被拒,要求机构退款
- 3天前皇冠信用網开户 _高市早苗没想到,中方直接对日本发“掉脑袋警告”,琉球问题也被摆了上来
- 3天前皇冠信用網登2代理 _女排全运-朱婷助河南3-0夺3连胜 张常宁领衔造最大分差
- 4天前皇冠信用网占成代理 _巴西巴拉那州遭龙卷风袭击 已致超750人死伤
- 4天前皇冠信用盘代理 _浙江省政协原副主席、原杭州大学校长薛艳庄逝世,享年96岁
- 5天前皇冠信用网登2代理 _陕西咸阳一男子打晕妻子误以为已死,将人扔下土崖致其死亡被公诉
- 5天前如何代理皇冠信用网 _42℃高温下,美国一父亲在家看片喝酒,将2岁女儿留在车内致身亡,入狱前自杀
- 6天前皇冠信用盘结算日 _文班亚马的最大烦恼:火箭队的防守会再次困扰他吗?
- 6天前皇冠信用登2代理 _詹姆斯恢复训练获官方批准,湖人跟队辟谣其离队传言:其他球队故意散布
- 7天前皇冠信用盘结算日是哪天 _找到了!吴石将军户籍卡首次公开
- 7天前皇冠皇冠足球平台 _2025世界互联网大会十大精品首发成果发布,四川国星宇航“零碳太空计算中心”入选
- 1周前皇冠信用網账号 _欧盟对华缺乏合作诚意未做让步,无缘中美稀土供应 “绿色通道”
- 1周前足球外围买球网站 _女乘客往公交投币箱塞3万现金,因曾让身无分文的她免费乘车回家,公交公司上门退款


网友评论